
Fallbericht: Koprostase mit Perinealhernie
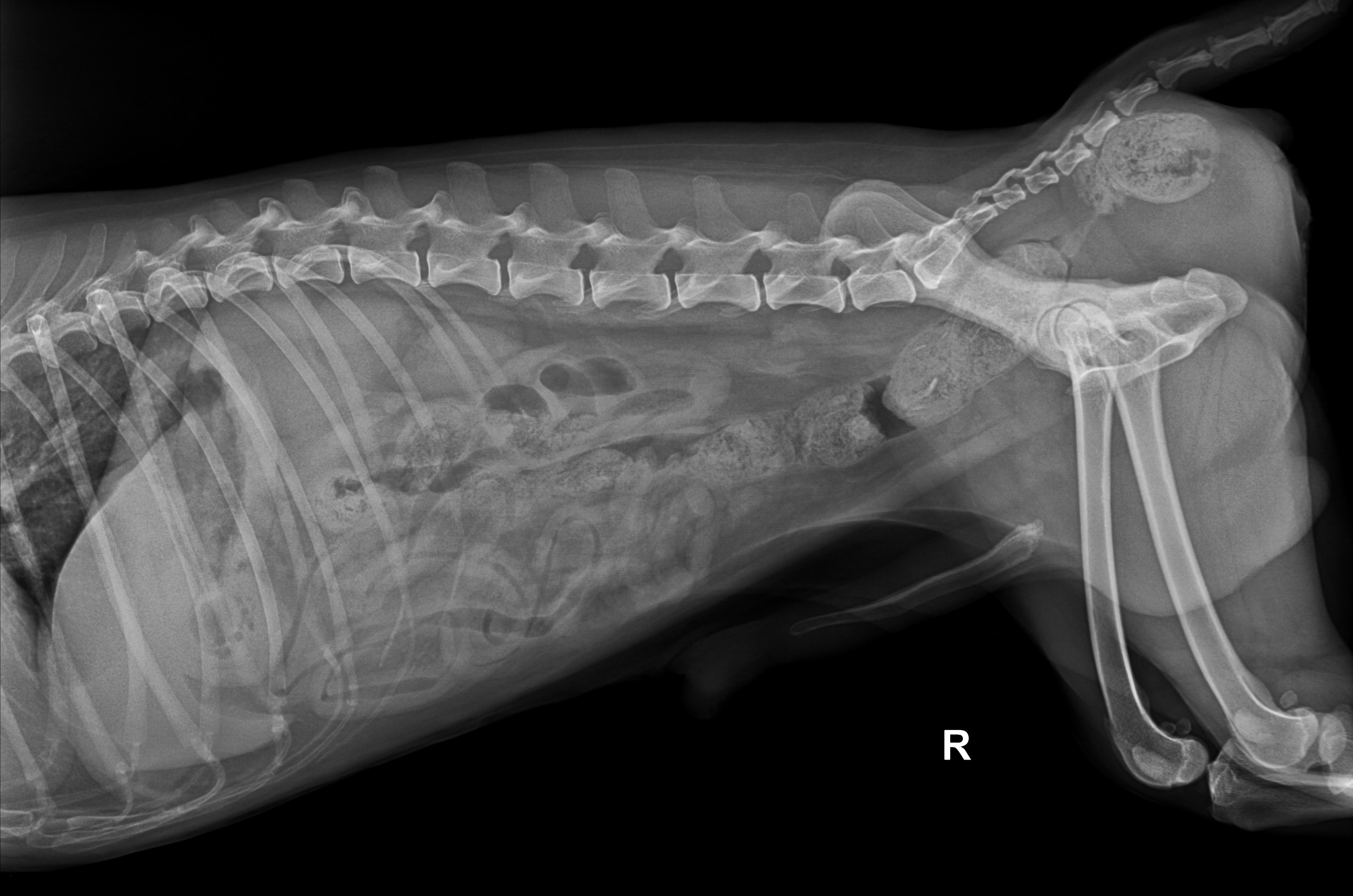
Milou wurde am 13.07.2022 in der Notaufnahme vorstellig, weil er keinen Kot mehr absetzen konnte und sich eine Ausbeulung neben dem After zeigte. In den vorherigen Tagen wurden Knochen gefüttert. Im Röntgen zeigte sich eine hochgradige Verstopfung mit hartem Knochenkot, der sich bereits neben dem D…

Mit dem Hund in die Tierklinik
Mit dem Hund in die Tierklinik

Dr. Lorenz Schmid im BR-Abendschau Interview
Klinikleiter und Fachtierarzt Dr. Lorenz Schmid stand kürzlich für die BR-Abendschau vor der Kamera. Im Interview erläutert Dr. Schmid Hintergründe zur Anpassung der Tierärztlichen Gebührenordnung (GOT), die ab 22. November 2022 in Kraft tritt.
Weitere Informationen zur Anpassung der GOT fin…

Augenerkrankungen bei kurznasigen Hunderassen (z.B. Mops, Französische Bulldogge, Shih Tzu…)
So schön die großen Kulleraugen und die putzigen Falten im Gesicht beim Mops auch sind, leider verbirgt sich dahinter auch ein erhöhtes Risiko für eine Vielzahl an Augenerkrankungen.
Viele davon wären vermeidbar, wenn die Hunde schon in den ersten Lebensjahren regelmäßig bei einem Spezialisten für…

Kinetische und Kinematische Gangbildanalyse der Rückenbewegung chondrodystropher Rassen nach Hemilaminektomie im Vergleich zu einer gesunden Population
Sarah Balmer, unsere Oberärztin und Fachtierärztin für Kleintierchirurgie, hat in der Fachzeitschrift „Tierärztliche Praxis Kleintiere/Heimtiere“ einen Fachbeitrag zum Thema „Kinetische und Kinematische Gangbildanalyse der Rückenbewegung chondrodystropher Rassen nach Hemilaminektomie im Vergleich z…